几天前傍晚,像往常一样结束一天的忙碌准备下班,上海市同济医院骨科学科带头人、行政主任程黎明教授收到一幅寄到的锦旗:“辗转数院不敢收,同济樊手病根除”。

图片 1.jpg
63岁的辜先生是一位沪上“985”大学的教授,15年前一场突如其来的车祸引起颈椎外伤并导致部分瘫痪,从此无法正常行走,但双下肢尚能站立给了他最后的安慰,让他走出了绝望。但3个月前,噩运再次降临:在进行康复运动的时候,辜老师不幸摔倒,双侧膝关节明显畸形,当地医院诊断为双侧股骨远端严重粉碎性骨折(图1)。由于长时间卧床所致的极严重骨质疏松及长久肺炎所致的呼衰让骨科和麻醉科医师都望而却步。带着畸形的双侧膝关节,他辗转沪上多家大医院未果。失望之际,他带了一丝期许慕名来到上海市同济医院,骨科副主任、创伤骨科主任樊健教授分析病情后,决心勇挑重担,帮助辜老师实现能站立的愿望。

图片 1.jpg
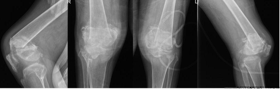
                                图1.术前X线:双侧膝关节结构紊乱
5月22日,辜老师住进了同济医院骨科创伤病区,樊健主任组织了科内讨论,对手术入路、固定方式、可能出现的并发症、应急方案及预期效果都进行了明确,家属也给予了充分的理解及支持。5月27日,经过充分的术前准备,在麻醉科杨君君医生、刘健慧主任及手术室姚英护士长等人的通力配合,并采取有效措施拮抗呼衰等高风险情况下,樊健主任和姜超主治医师基于前期充分准备,使用手术导板等辅助工具,以最快速度、最小损伤完成截骨、对线、有效内固定等手术操作,重新恢复双侧患膝关节解剖(图2)。术后经过重症医学科张磊主任等监护治疗后,辜老师不久即回到了骨科普通病房,床位医生姜超博士及骨科康复高翔医生等随即来到床边进行康复指导。当看到自己双侧膝关节恢复到正常位、日后又能站立时,辜老师及家属激动万分。

图片 1.jpg
图2.术后X线:双侧膝关节结构恢复
上海市同济医院骨科作为国家临床重点建设专科、上海市“重中之重”临床重点学科,在学科带头人程黎明教授带领下发挥学科整体优势,积极推动手术微创化、精细化、智能化发展,力争以最小的创伤解决患者最大问题,尽最大的努力为百姓健康保驾护航。
我要评论 (网友评论仅供其表达个人看法,并不表明本站同意其观点或证实其描述)
全部评论 ( 条)